If you are struggling with the reality of a missing tooth, take heart. According to statistics, approximately 178 million adults over the age of 30 have the same problem. The solution for many is getting dental implants. At Advanced Periodontics and Implant Center of Connecticut, we place dental implants in Monroe, CT, for patients with one missing tooth or multiple missing teeth.
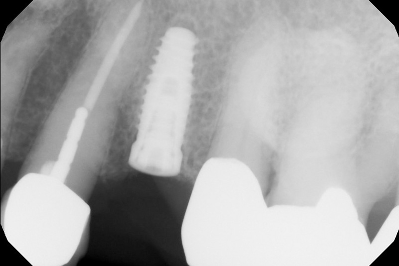
One of the tools we regularly use to determine the placement of dental implants is the i-CAT® 3D cone beam. This machine utilizes special software to give us a detailed image of your mouth. We use the data we receive from the i-CAT® to perfectly place dental implants where they belong. Thanks to this piece of high-tech equipment, we are able to increase patient satisfaction and long-term success rates for dental implantation.
If you are missing many teeth, or have a row of missing teeth, and do not want a denture replacement, you may prefer a series of dental implants. Our periodontist, Dr. Richard Amato, regularly works with patients who require multiple dental implant surgeries.
The journey from having a missing tooth to getting a dental implant is a several-step process. After ensuring you are a good candidate for a dental implant, we will schedule you for your initial surgical procedure. During the first surgery, a titanium post will be embedded into the bone and under the gum line where your natural tooth used to be. After this surgery, we will allow several months for the site to heal.
When the site is ready, Dr. Amato performs a second surgery to remove the gums that have naturally grown over the implant post to expose the tops of the implants. An abutment and natural-looking prosthetic tooth will be bonded to the implant. The goal is to give you a functional tooth replacement that blends right in with your smile!
